
Full Smile Makeovers in Madison, AL
When you're unhappy with your smile, it can feel like you're holding back a piece of yourself. You may hide laughter, avoid photos, or second-guess yourself every time you speak. Maybe it's been years since you've truly loved your smile, or perhaps you've never felt confident showing it. That kind of self-consciousness can affect every part of your life, but it doesn't have to be that way.
At West Madison Dental, we believe everyone deserves to feel proud of their smile. A full smile makeover can give you more than just a new appearance. It can restore your confidence, comfort, and freedom to express yourself. Whether you want to brighten, straighten, or completely transform your smile, we'll create a personalized plan based on your unique goals and needs.
What Is a Full Smile Makeover?
A full smile makeover combines multiple dental treatments to dramatically improve your smile’s function and aesthetic beauty. Our experienced dental team will personalize a treatment plan based on your smile goals, treatment timeline, and budget.
Some of the services we offer include the following:
- Professional teeth whitening
- Porcelain veneers
- Dental bonding
- Dental crowns and bridges
- Dental implants
- Clear aligner therapy
- Tooth-colored fillings
- Periodontal treatment
Digital Smile Design: See Your New Smile before Treatment Begins
We use the latest dental technology to let you try your new smile before treatment begins, giving you the power to personalize your new look. Here’s how it works:
- Digital imaging — We start by taking detailed digital photos of your teeth, mouth, and facial structures. Our high-quality digital cameras capture every angle.
- 3-D digital scanning — Using a digital intraoral scanner, we create a 3-D model of your teeth and gums. No more messy impressions!
- Lab-grade design software — Then, with our CAD/CAM (computer-aided design and computer-aided manufacturing) software, we precisely design your new smile by adjusting the shape, size, and alignment of your teeth.
- Smile preview — Here’s where the fun begins! Using our in-office 3-D printing technology, we can create a mockup of your new smile that fits over your existing teeth. You’ll be able to see and feel what your new smile will look like.
- Treatment plan — Once we’ve made any adjustments and you’re happy with your smile preview, we’ll customize a treatment plan that includes the right combination of cosmetic and restorative procedures.
Ready to Schedule a Consultation in Madison, AL?
If you want to see what a full smile makeover can do for you, our experienced dental team will happily assist you! At West Madison Dental, our goal is to help you achieve the smile of your dreams.
To schedule a consultation and learn more about Digital Smile Design, please get in touch with our dental office at (256) 724-3530.
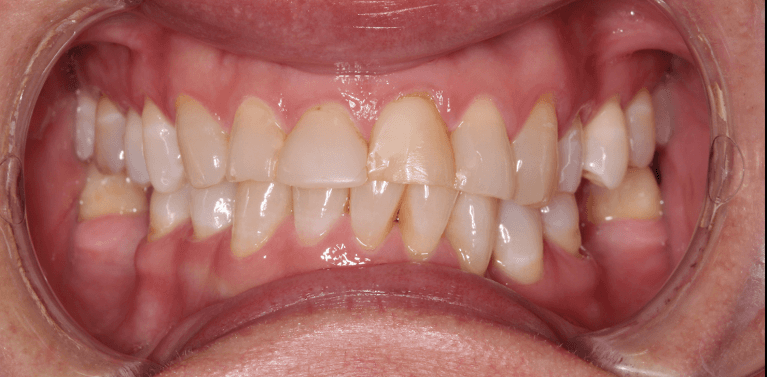
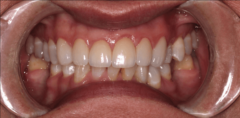
Exploring the Benefits of a Full Smile Makeover in Madison
A full smile makeover from West Madison Dental can benefit your smile, oral health, and life in numerous ways, including the following:
Enhanced Appearance
Tremendous Confidence
Improved Oral Health
OUR TEAM
Frequently Asked Questions
If you're unhappy with the appearance of your smile, a full smile makeover can transform how you look and feel. At West Madison Dental, we customize smile makeovers to address cosmetic and functional concerns, helping you achieve the smile you've always dreamed of. But how do you know if you're the right candidate for this life-changing treatment?
Who Is a Good Candidate for a Full Smile Makeover?
You may be a great candidate for a full smile makeover if you have:
- Multiple cosmetic concerns like discolored, broken, or misaligned teeth
- Missing teeth or gaps in your smile
- Uneven gums or an unbalanced smile line
- Worn or damaged teeth
- A desire for a dramatic smile transformation
What Is a Full Smile Makeover?
A full smile makeover combines multiple dental treatments to improve your smile’s appearance, health, and function. The best candidates are those with healthy gums and a commitment to maintaining good oral hygiene during and after treatment. If you have existing dental issues like gum disease or tooth decay, we'll address those first to create a healthy foundation for your new smile.
Your makeover may include:
- Porcelain veneers
- Teeth whitening
- CEREC same-day crowns or bridges
- Clear aligners
- Dental implants
- Dental bonding
- Tooth-colored fillings
Each treatment plan is designed specifically for your needs to create a balanced, natural-looking smile.
Ready to Learn More about Smile Makeovers in Decatur, AL?
At West Madison Dental, we believe everyone deserves to feel confident in their smile. If you're ready to explore what's possible with a full smile makeover, our team will guide you every step of the way to create a smile that's uniquely yours.
Give us a call at (256) 724-3530 to get started.
Your full smile makeover from West Madison Dental is an investment in your confidence, health, and happiness. To keep your new smile looking its best, following a consistent care routine is important to protect your results.
How Should I Care for My Teeth After a Smile Makeover?
Daily care is essential to maintain the beauty and function of your new smile. Here are some tips for keeping your smile looking its best:
- Brush your teeth at least twice daily with a soft-bristled toothbrush and non-abrasive fluoride toothpaste to avoid scratching cosmetic restorations like veneers or crowns.
- Floss daily to remove plaque and debris between your teeth.
- Use an alcohol-free mouthwash to keep your gums healthy.
- If you've received dental implants or other restorative treatments, follow any special care instructions from your dentist.
- Regular dental checkups every six months will help ensure your smile stays healthy and any minor concerns are caught early.
How Can I Protect My New Smile?
Protect your smile by avoiding habits that could damage your teeth. Follow these guidelines:
- Don't use your teeth to open packages or bite on hard objects like ice or fingernails.
- If you grind your teeth at night, ask about a custom nightguard to prevent damage.
- A balanced diet and staying hydrated also help maintain your smile. Limit sugary snacks and drinks, and choose foods that support oral health like fruits, vegetables, and calcium-rich options.
Questions about Your Smile in Madison, AL?
With the proper care and regular visits to our Madison dental office, your new smile will keep you looking and feeling your best for years to come!
To schedule an appointment or ask a question, please call us at (256) 724-3530.
Full Smile Makeovers Technology

Digital Smile Design
Digital Smile Design is a revolutionary tool that allows patients to see a preview of their future smile before treatment even begins. We can create a fully customized treatment plan that blends art and science using advanced technology like digital cameras, 3D scanners, lab-grade design software, and 3-D printers.
The process starts with high-resolution photos and digital impressions of your teeth, gums, and face. These images are uploaded into specialized software that analyzes facial symmetry, tooth proportions, and bite alignment. From there, we design a smile that complements your features and goals.
One of the most exciting parts of DSD is the ability to “try on” your new smile, either digitally or with a 3D-printed mock-up. This lets you preview the results, make adjustments, and feel confident moving forward with treatment.
Digital Smile Design turns imagination into reality, offering a collaborative, personalized, and precise approach to creating the smile of your dreams.
Testimonial
Impressed with the entire staff, all of whom have exhibited competence, kindness, care and concern.
Had another great experience at West Madison Dental. Fairly new to this practice. Been impressed with the entire staff, all of whom have exhibited competence, kindness, care and concern for my dental needs. My family and I made the switch to this provider on a recommendation from a friend. Pleased we followed through on that recommendation. Keep up the great work.
-Kenneth