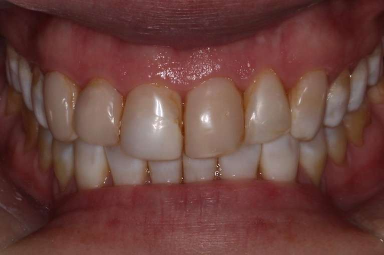
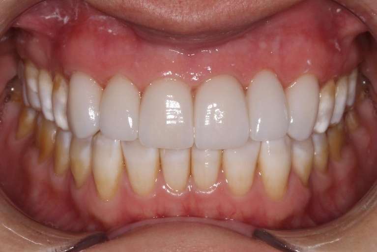
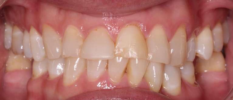
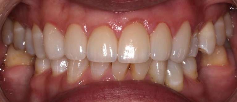
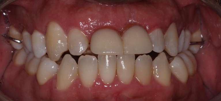
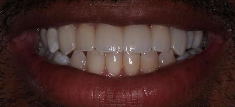
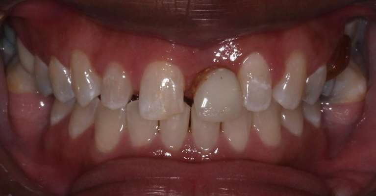
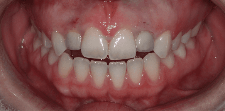
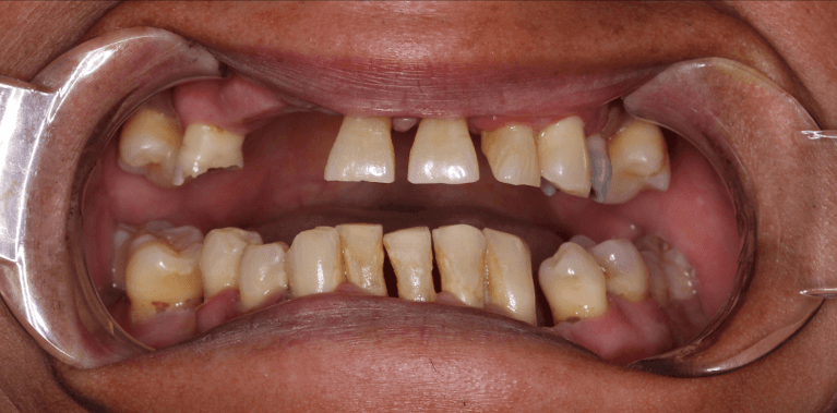
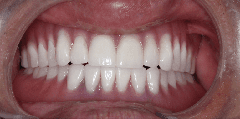
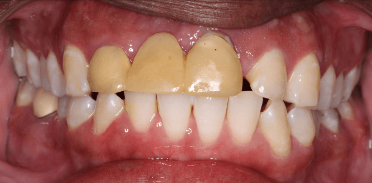
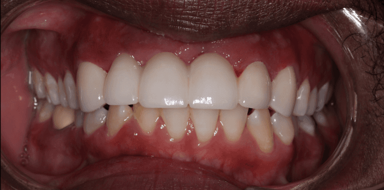
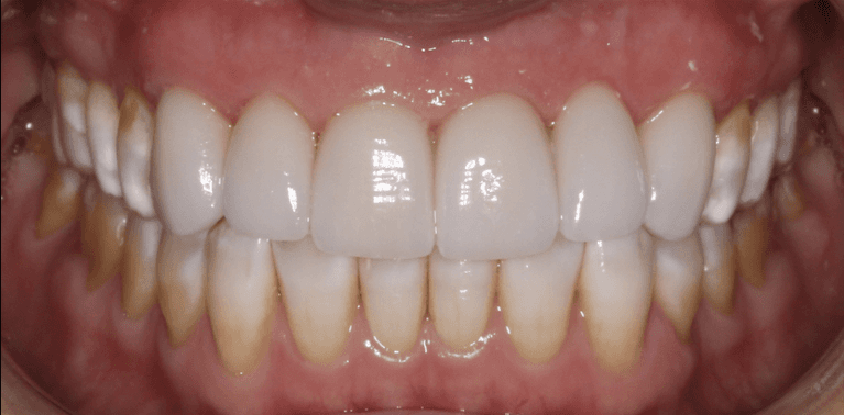
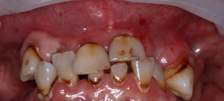
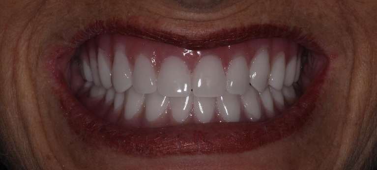
Smile Gallery Categories
I like the fact that they have emergency services. They saved my favorite tooth.
WMD was able to fit me in for a next-day appointment to resolve a terrible toothache. Dr. Morey explained all the treatment plan options, she was fast and efficient with the procedure. The management team are all very kind and patient. I like the fact that they have emergency services. They saved my favorite tooth.
-Melanie
 
 
 
 
 
 
 
 
 
 
 
 
 
 
 
 
 
 
 
 
 
 
 
 
 
 
 
 
 
 
 
 
 
 
 
